白い歯で、笑顔に自信を持ってみませんか?
- 口を開けると銀歯が目立って気になる
- 白くて綺麗な詰め物や被せ物にしたい
- 前歯や目立つ部分の歯が欠けてしまった
- 歯の隙間が気になる
…このようなお悩みをお持ちではいませんか?
当院では、患者様が「心からの笑顔」でいられるよう、
機能だけでなく美しさも叶える治療も行っております。
…このようなお悩みをお持ちではいませんか?
当院では、患者様が「心からの笑顔」でいられるよう、
機能だけでなく美しさも叶える治療も行っております。
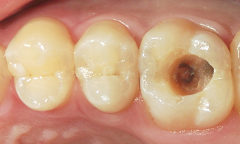
虫歯が出来てしまったら、患部を削って銀歯を詰めることが当たり前になっている日本。
ところが、日本以外の先進国では虫歯治療には銀歯を使わないことが一般的なのです。
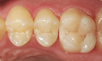
他の先進国では樹脂を使った白い詰め物が一般的で、見た目にも美しい治療を行うことが一般的になっています。
当院では、その白い詰め物(コンポジットレジン/CR)をおすすめしております。
コンポジットレジンとは、樹脂・セラミックなどを素材とした歯科用高性能接着材料を使用した歯の治療・修復方法です。
※患部の状態や場所により、保険診療が適応できる場合とできない場合がございます。
まずは初診カウンセリングで診療形態が選べるのかも含めてご説明させていただきます。

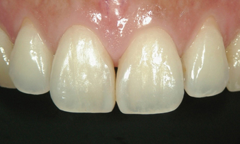
Before

After

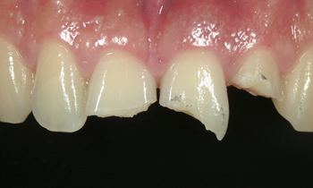
Before

After

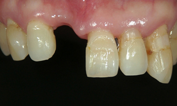
Before

After

Before

After

Before

After

Before

After
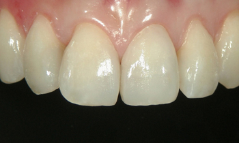
当院では、コンポジットレジン以外にもセラミック・ジルコニアを使った治療も行っております。
ご興味のある方は、お気軽にご相談ください。
| 適応 | 審美性 | 耐久性 | |
|---|---|---|---|
| セラミック | 詰め物・被せ物 | ★★★★★ | ★★★★ |
| メタルボンド | 被せ物 | ★★★★ | ★★★★★ |
| ジルコニア | 詰め物・被せ物 | ★★★★ | ★★★★★ |
| ジルコニアセラミック | 詰め物・被せ物 | ★★★★★ | ★★★★★ |
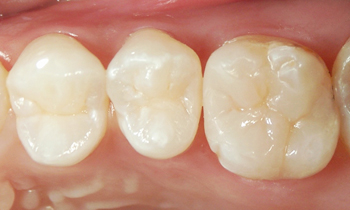
白い歯にした後は、良い状態を長期的に維持できるよう、治療後のケアをしっかり行っていきましょう。
虫歯・歯周病の治療の後のケアが重要なのはもちろん、審美歯科治療でも同様に治療後のセルフケア・歯科医院でのプロフェッショナルケアを併せて行っていくことが大切です。
口腔内を健康に保ち、いつまでも綺麗な歯でいられるよう、当院と一緒に取り組んでいきましょう。

治療当時

3年後
白い歯にする治療に興味がある、やってみたいという方は
まずは当院までご連絡ください。